Veteriner diş hekimliğinde dental radyografi neden önemlidir?

Veteriner diş hekimliği söz konusu olduğunda dental radyografi olmaksızın çalışmak kelimenin
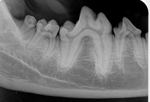
tam anlamıyla imkansızdır. Dental görüntüleme sistemleri, diş hekimliği pratiğindeki en hayati ekipmandır. Dental radyografiler, kesin teşhis koyabilmek için gereklidir. Özellikle genç hastalarda dental radyografiler sayesinde malpozisyon durumu, anormal dişler, eksik, ölü ve canlı dişler gözlemlenebilir. Diagnoz, prognozu anlamanın temelini oluşturur ve hastalarımızı nasıl tedavi edeceğimizin kararını vermemizi sağlar.
Dental radyografiler, diş ve ağız sağlığı için yapılan uygulamanın başarısını değerlendirmek ve dökümentasyon için önemli verilerdir. Ağız sağlığı, insanlarda olduğu gibi hayvanlar için de büyük önem taşır. Ağız sağlığının bozulması insanın ve hayvanın refahını bozarak yaşam kalitesini düşürmektedir. Önceleri veteriner hekimler için diş sağlığı daha geri planda kaldığından bir çok vaka gözden kaçmaktaydı. Günümüzde ise veteriner hekimler teknolojinin de gelişimiyle “diş” alanında büyük adımlar atıyorlar.
Diş temizliğinden önce neden dental radyografi istemeliyim?
Evcil hayvanların diş temizliği işlemleri sırasında, kapsamlı bir ağız sağlığı değerlendirmesi ve gerekli olan tedavi yapılır. Dental x-rayler ve periodontal prob ile ölçüm değerlendirmeye yardımcı olur. Röntgen çekilmeden hastayı anesteziye alıp dişlerini temizlediğimizde önemli bir problemi gözden kaçırmış olabiliriz ve yaptığımız uygulama hastanın diş sağlığı için yeterli olmayabilir. Eğer sadece bakar(fiziksel muayene), gerçekten göremezseniz (röntgen çekmezseniz) dikkat edilmesi gereken bir problemi gözden kaçırmanız çok muhtemeldir. X-ray görüntüsü, ağız içindeki bir çok alanın değerlendirilmesine imkan sağlar
Önce teşhis edin, tedavi planını belirleyin ve uygulamaya koyun
Bir evcil hayvan düşünün ki sürekli yüzünü sürtüyor, yutkunuyor veya aşırı derecede salivasyonu var ve bunların hiçbiri için ortada bir sebep yok. Tedavi edilmeden bu belirtilerin geçmesini mı beklersiniz? Yoksa teşhis olmadan tedaviye mi başlarsınız? Antibiyotik veya steriod tedavisi uzun vadede nadiren fayda sağlayan uygulamalardır, hatta evcil hayvan için zararlı olabilir. Bilinmelidir ki; hayvanlar ve insanlar için gelişigüzel antibiyotik kullanımı ilerleyen zamanlarda bakteri direncine sebep olabilmektedir. Dental radyografiler ile dişler arasında veya gingival sulkusta sıkışan yabancı cisimleri tespit edebiliriz. Böyle bir durumda sadece medikasyon ile çözüm aramak doğru olmayacaktır, en mantıklı tedavi yabancı cismi uzaklaştırmaktır. Her zaman için önce teşhis konulmalıdır, ardından en iyi tedavi planlanmalı ve gereken tedavi titizlikle uygulanmalıdır. Dental radyoloji teşhisteki “tahmin”i ortadan kaldırır ve doğru tedavinin optimal bir şekilde uygulanmasına olanak sağlar. Yukarıda görülen örnek vakalardan anlaşılacağı üzere veteriner diş pratiğinde radyografi büyük önem arz eder. Günümüzde gelişen teknoloji ile birçok veteriner hekim kliniğinde dijital radyoloji sistemleri ile çalışarak çok daha net görüntüler elde ederler. Bu sayede teşhise daha rahat ve hızlı bir şekilde ulaşarak hayvanlarımızın sağlıklı bir yaşam sürmelerini sağlar.












